Clarté nucale
Mesure
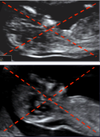
Le grossissement de l’image doit être telle que la tête fœtale et la partie supérieure du thorax occupent l’ensemble de l’écran.
- Une coupe sagittale du fœtus doit être obtenue. Dans cette coupe, l'os propre du nez échogène et le palais rectangulaire sont vus séparément. La rotation de la tête hors de la ligne médiane entraîne la disparition de la pointe du nez et l'apparition de l'os maxillaire comme structure échogène entre l'os nasal au-dessus et la partie antérieure du palais en bas. Avec une rotation supplémentaire de la ligne médiane, l'os propre du nez disparaît et il y a élargissement de l'os maxillaire et fusion avec le palais.
- Le fœtus doit être dans une position neutre, avec la tête alignée par rapport à la colonne vertébrale. Lorsque la nuque du bébé est en hyper-extension, les mesures peuvent être faussement augmentées et quand la nuque est en flexion, les mesures peuvent être faussement diminuées.
- Des précautions doivent être prises pour faire la distinction entre la peau du fœtus et l’amnios

